How do you consolidate radiology workflows into a single workspace, enable advanced analysis and quantification on the fly, simplify reporting and ensure quality in a busy mid-sized hospital performing highly specialized CT and MR studies? That was the challenge faced by Hospital Nuestra Señora del Rosario in Madrid, Spain, a hospital with 200 beds and 16 of 26 radiologists devoted to CT and MR studies. The hospital performs 35,000 highly specialized CT and MR studies a year, with specialists dedicated to prostatic, pelvic, cardiac, neurologic, head/neck and other difficult studies.
Eliseo Vañó Galván, MD, Cardiovascular Radiologist, Chair of the CT & MR Department at Hospital Nuestra Señora del Rosario estimates that 30 to 40% of the institution’s studies call for advanced imaging, and that a significant number of these make use of the on-site 3D imaging lab. The clinical team places the highest value on diagnostic quality, and considers access to a full set of advanced imaging tools to be essential in ensuring accurate and complete reporting. To enable consistent quantification or deeper analysis, the team uses many studies that require advanced visualization. All of these studies are crucial to effective treatments, optimal outcomes and the advancement of medical knowledge, but every study also takes time.
While there are many options for incorporating such tools within the radiology environment, the challenge is in integrating these tools in a way that allows for seamless reading, collaboration, reporting and sharing of results—without hindering workflow productivity.
30% to 40% of studies at Hospital Nuestra Señora del Rosario call for advanced imaging. Integrated tools save "at least 1 to 2 minutes per patient."1
Depending on the clinical specialty, Hospital Nuestra Señora del Rosario’s CT and MR radiologists may report dozens of extremely complex and advanced studies every day in addition to their more routine workload. Having to wait an average of 60 seconds for images to open into a separate advanced visualization workstation can have a major impact on their productivity. With the Philips integrated workflow within a single workspace, Dr. Vañó says, “we save at least one to two minutes per patient. So that is a lot of time saved at the end of the day, across every specialist in our department.”
The Philips platform is simple, with an intuitive interface, and it covers all our visualization, collaboration and reporting needs. There’s no one reason for choosing Philips. It’s simply our favorite solution all around.
Philips capabilities also help radiologists work more efficiently and effectively by automating tasks and workflows based on predictive usage patterns. Algorithms help with generating results and measurements, saving time. Integrated voice dictation accelerates reporting within the workspace, helps eliminate errors and even includes the ability to hyperlink prior studies via simple voice commands. Auto population of DICOM and HL7 data shortens reporting time and improves accuracy.
The time saved in gathering quantified, actionable information in a unified workspace contributes directly to the quality of reporting. With poorly integrated systems, there can be an unconscious bias against using advanced tools and quantification functionalities in many cases. The radiologist may decide that the 2D static images are in themselves sufficient to report with confidence, and move on to the next case. However, with advanced visualization tools available in the same workspace, it’s quick and easy to take a closer look, for example, by running an automated lung CAD or quantifying pulmonary volumes. Integrated collaboration tools also make it easy to consult with a colleague and obtain a second opinion in a matter of seconds.
Greater quantification in reports improves quality of care and research in all specialties, of course, but the advantages of faster reporting with greater advanced quantification have never been more evident than in the midst of the COVID pandemic. “With the new integrated workflow, we quantify much more than ever before,” says Dr. Vañó. “For example, we can easily quantify pulmonary volumes, and we are using that capability for every single COVID patient. We have very positive feedback from our clinicians.” He says, “The availability of advanced visualization tools within a single reading and reporting workspace has made us more efficient with our workload, but it also enables us to provide quality and consistency in our reporting. Increasing automation and quantification greatly increases the quality of the report, and we expect to be continuously improving our work in the future.”
In addition to consolidating multiple advanced tools into a single diagnostic workspace, the Philips solution enables interactive multimedia reporting. User-defined templates, structured reports and embedded voice recognition accelerate turnaround time. Radiologists can embed active hyperlinks directly into their clinical reports, providing clinicians with one-click access to information such as previous images and reports, technologist notes, scanned documents and more. The radiologist can add hypertext links to indicate the most significant nodules that can be found via several advanced visualization applications—for example, CT Lung Nodule Assessment. Clinicians can easily access previous studies from the same workstation for direct, side-by-side comparison to evaluate the progress of the disease and the effectiveness of treatment. Users can select the applications relevant to their current study, with 70+ advanced applications across multiple clinical domains available from Philips.
These collaborative capabilities improve the quality of reporting and also extend beyond the radiology department to help referring physicians better manage the course of treatment and achieve better patient outcomes. “We are providing curated data at the point of care to support the diagnosis comprehensively,” says Dr. Vañó. “We’re creating much richer reports with our advanced visualization capabilities and the ability to share multiple media types, from images to graphs. It’s the perfect tool for giving outcomes to the clinicians and to the patients. The clinicians will never want another way of getting reports. They just love it.”
Semi-automated lung analysis using Philips IntelliSpace Portal advanced visualization3
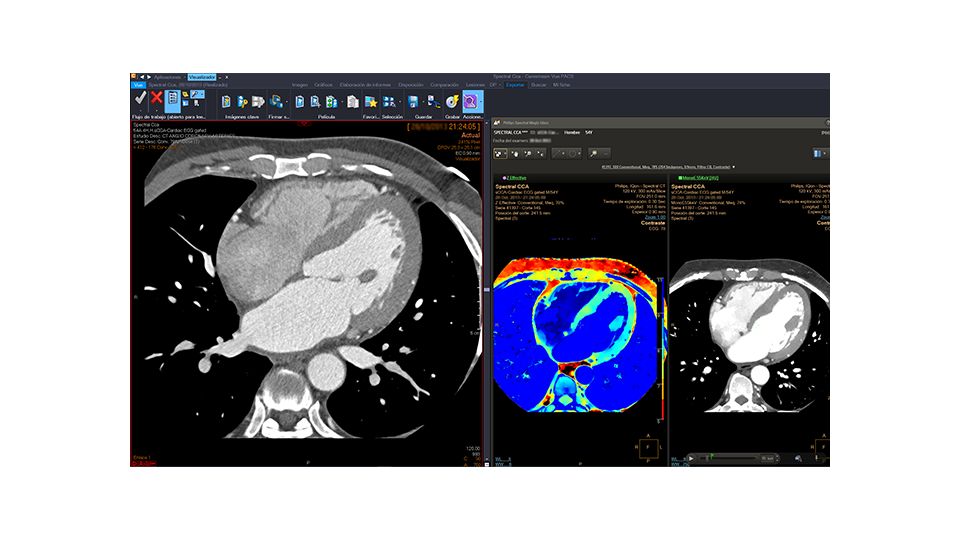
Multiple spectral images displayed in a single workspace3
We’re creating much richer reports, and we’re getting very, very positive feedback. You could even say we are getting famous in the Madrid health community.
The Philips solution also supports spectral CT imaging, integrated directly into the radiology reading workflow. Spectral technology greatly improves visualization of a wide range of pathologies, often enabling earlier disease detection and more skillfully targeted treatment. The ability to view multiple spectral images simultaneously in a single workspace, directly on the diagnostic viewer –including multiple spectral analyses of a single study as well as multiple retrospective studies – is made possible through the on-demand, simultaneous viewing capability of Spectral Magic Glass. Thanks to tightly integrated advanced workflows, spectral results are easily accessed on the PACS for advanced visualization. “The Magic Glass is a game-changer that no other company has – only Philips,” says Dr. Vañó.
The team values how one integrated, collaborative diagnostic workspace benefits all stakeholders. Streamlined access to streamlined workflows helps meet the institution’s goal of improving quality of care.
Learn more about our products
Radiology informatics: A scalable, modular architecture that integrates with existing systems to deliver data and tools across the enterprise – from radiology data reporting to enterprise-wide ingestion and archiving, to full patient and clinical data management.
Advanced visualization: Philips Advanced Visualization Workspace is an advanced visualization and analysis solution that is designed to help physicians to diagnose, follow-up, and communicate, across clinical domains and modalities, with one seamless, connected workflow.
Streamlining radiology workflows at Hospital Nuestra Señora del Rosario